I wish what I’m writing right now would be the good news I hoped it would be. What it should be.
Truthfully, I had been keeping a little secret from you guys. Hiding my hope and (yes) excitement for the future. You see, the Wednesday before Mother’s Day the word ‘positive’ boldly presented itself right in front of me. I was blessed with another baby, another pregnancy. Jensen had handpicked his little brother or sister for me. There the fire of having a living child was reignited.
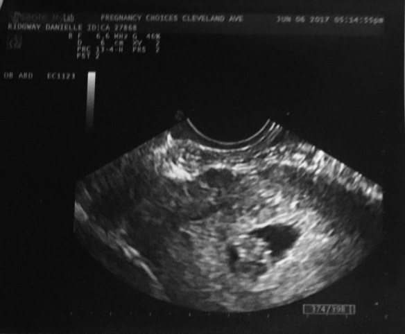
The past weeks were full of anxiety and guilt and joy for this new life inside of me. I’ve been sick to my stomach and craving avacados. Eleven days ago I even saw his or her’s strong heartbeat on the ultrasound screen. Ten perfect weeks of pregnancy.
Late last night, I noticed light, brown spotting. Of course I was concerned. I read through all the baby blogs and boards. My mind kept telling me, it’s just old blood. Everything has went so smoothly. Then this morning, it was back. The spotting went off and on, I thought about going to the doctor first thing, but figured I’d just rest unless it got worse.
Then it did.
My mom and I went to the hospital. Still, I was so confident nothing was wrong. There was no pain or any other symptoms. They took my blood and urine. It said I was pregnant, but we needed to scan just to see.
I should’ve known when she didn’t let me see the screen. Part of me did know, but I was holding onto hope.
Loss had already struck, it wouldn’t hit me again.
We waited in our room for what it seemed like forever. Today there was a ton of trauma patients. There were so many people being wheeled to the rooms beside me. I told my mom that I wasn’t high priority, they were just getting to everyone first. There’s nothing wrong. I really didn’t think it could happen again.
He came into the room, muttered some words, but all I got out of that cacophony was ‘there wasn’t a heartbeat.’
I don’t know what’s going to happen now. In the blur of the conversations after those words, I know I’ll either miscarry naturally or have a D&C Monday. This weekend was supposed to be happy, I was going to announce to the rest of my family. Show them the baby’s ultrasound, have hope for the future.
Mentally and emotionally, I know I’m in a sort of shock. Different from what I was with Jensen, but still shock. I am angry and feel as if having a living child is not in my cards.
There’s nothing that’s going to make this ‘better.’ This baby is not in a better place and I don’t want to hear about God’s plan for me. I’m in pain. Losing this child hurts like hell. I loved and wanted him or her so much. It wasn’t just a few cells, it was my baby. Just like Jensen is my son.
This is my child. He or she was here and so real. I miss them already and hope Jensen will take care of his little sibling.

Although I don’t know when this will be posted (I’m writing this on my couch after just leaving the hospital), I will probably be MIA for the next couple weeks. If I do post, it’s not going to be ‘happy,’ my second child just died.
I do appreciate all of your support through my journey of loss and love. It’s not one I’d ever wish on anyone.
I am so so so sorry.
I send my love, for what little it can do for you right now, I hope it helps anyway.
Here if you want to talk.
LikeLiked by 1 person
Thank you so much for your love. It definitely helps.
LikeLiked by 1 person
I am glad I can offer some comfort x
LikeLiked by 1 person
I am so so sorry sweetie. Please know I am here to talk. I too have become a numb and angry shell of the person I used to be. We lost our first daughter at 37 weeks. Like you I got pregnant again last year and thought “it can’t happen again, it just can’t”. Things were fine, great, then at 25 weeks it all happened all over again. I didn’t feel movement and got those same words said to me. I don’t know why this life is choosing to be so cruel to us. I truly wish I had the perfect words to say. But even as a fellow angel mom, I know there is no perfect thing. So I will just say this. I am here if you ever need to talk. I’m so sorry for you and your family, lots of love xoxo
LikeLiked by 1 person
I’m so sorry for you and all of us surviving after loss. It’s not fair that someone can go through this type of loss more than once. My heart breaks for me and you and all of us. There will never be the ‘right words’ to say, but just knowing you’re here to talk helps tremendously.
LikeLiked by 1 person
My dear, sweet friend. I am so very sorry. My heart is hurting for you. I have no words but know I am praying for the comfort that only God can give.
LikeLiked by 1 person
Karen,
Thank you for your prayers of comfort. I know God is here with me, sometimes I just wish He could answer my questions.
LikeLike
I’m so sorry to hear about your loss so I’m sending you a giant hug. If you need anything… let me know
LikeLiked by 1 person
Thank you for everything. I’m trying my best to keep going.
LikeLike
I am so very very sorry. I send light and love to you.
LikeLiked by 1 person
Thank you for the love and light.
LikeLike